Dental Services

DENTAL SERVICES OFFERED
Listed below is a variety of dental services offered by Stone Oak Family Dentistry, followed by a brief description. Keep in mind that insurance coverage varies depending on each patient’s policy.
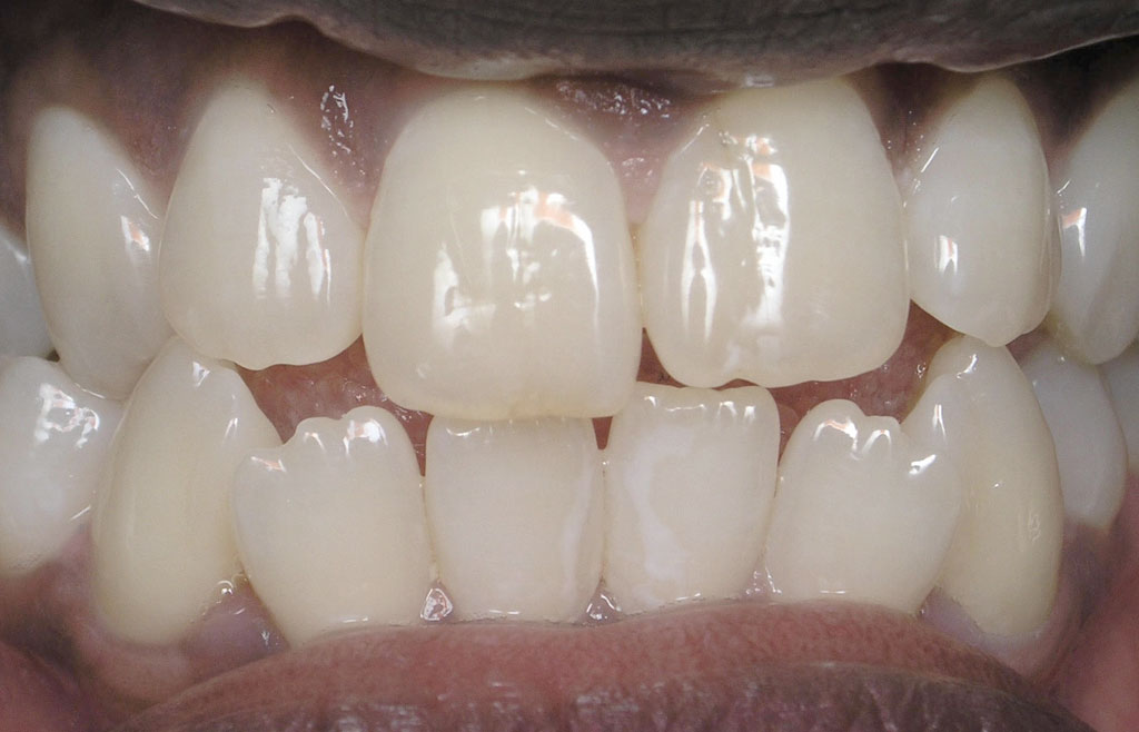
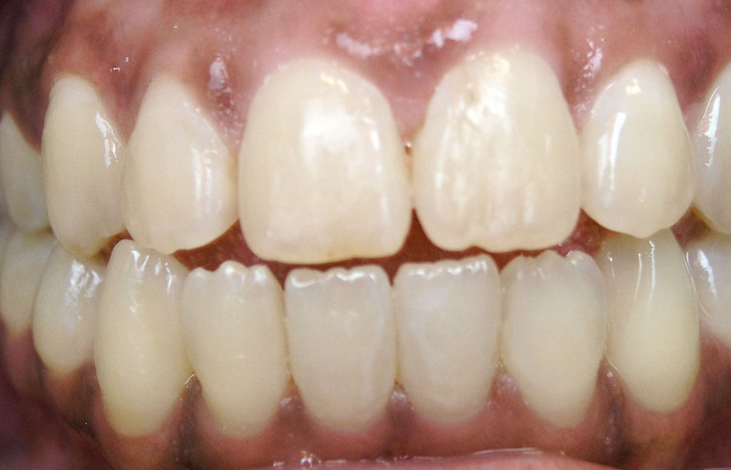
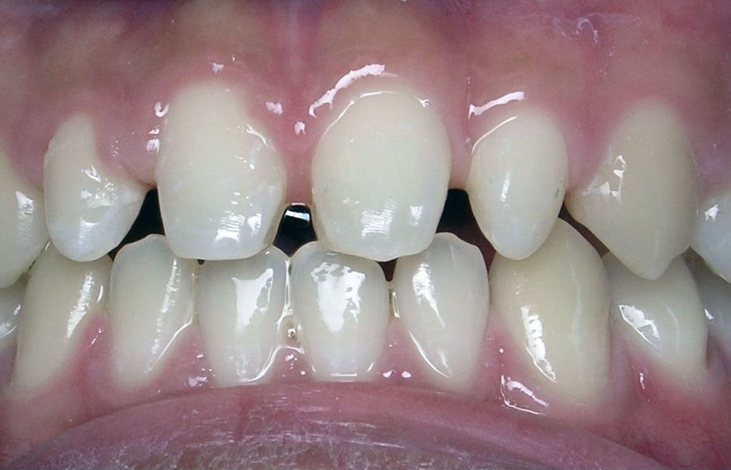
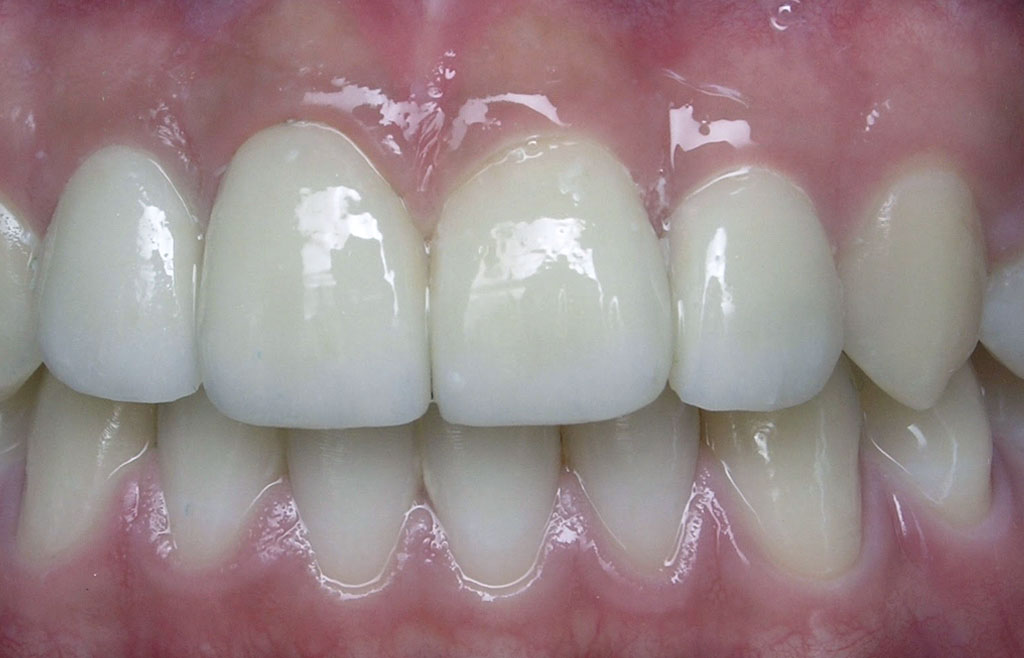
ORTHODONTICS – BEFORE & AFTER




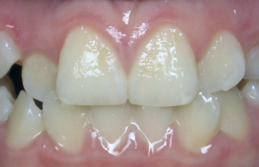
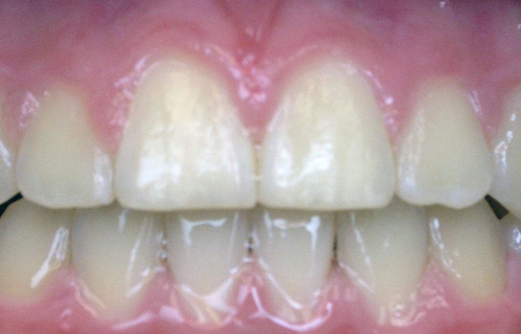
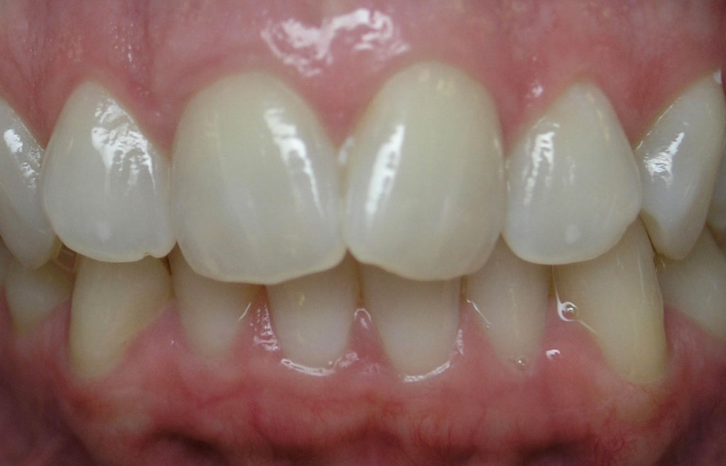
DENTAL VENEERS – BEFORE & AFTER




PREVENTATIVE CARE
As a general dental practice, preventative care is simply our effort to prevent oral health issues as well as improving your oral health. These are things like regular checkups and treatments to prevent damage to your teeth and gums. Please keep in mind as with any treatment, insurance coverage varies depending on each patient’s policy. Not all cleanings will be covered at 100%.

DENTAL X-RAYS & IMAGING
At Stone Oak Family Dentistry, we have several technologies to help us assess the condition of your teeth. These tools are vital for proper diagnosis and treatment planning.




















